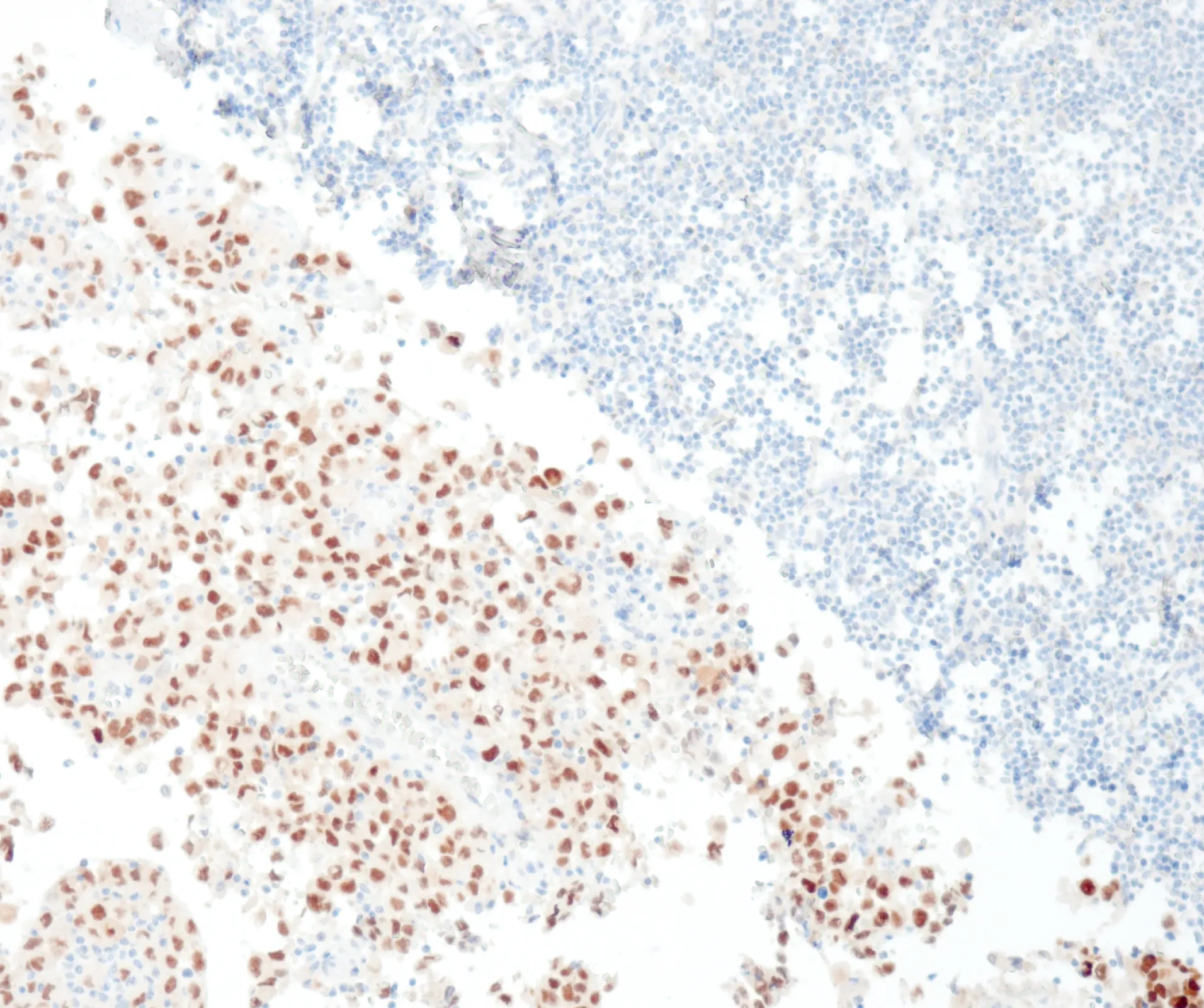
PRAME (QR005) - Recombinant rabbit monoclonal antibody
Exhibitor
quartett Biotechnologie GmbH
PRAME is a tumor-associated antigen that is preferentially expressed on the nuclei of neoplastic melanocytes. In normal tissue, expression of this cancer testis antigen is largely restricted to testis.
Anti-PRAME can be used for differential diagnosis of melanoma with diffuse positive nuclear staining versus nevi which are negative or only focally positive for PRAME. Therefore, it can be a helpful additional examination for situations in which antibodies against Hmb-45, Melan A and SOX10 do not provide sufficient information to distinguish between benign and malignant melanocytic lesions.
Clear cell sarcoma is reported to give consistently negative staining in contrast to malignant melanomas, and can therefore be used for differential diagnosis between clear cell sarcoma (negative) vs. malignant melanoma (positive). Most synovial sarcomas and myxoid liposarcomas are diffusely positive for PRAME.
Literature using other clones documented that PRAME is expressed not only by melanoma but also by various non-melanoma neoplasms including non-small cell lung cancer (NSCLC), breast carcinoma, renal carcinoma, ovarian carcinoma, and leukemia.
_Melanoma_10x_2-resized.webp)